发现试用选择
产品名称
产品名称
公司名称
首页
行业资讯
最新新闻
高端访谈
学术活动
精英团队
国际前沿
精品文章
分析软件
计划软件
人工智能
增值服务
know-how
测试版
分析软件
计划软件
人工智能
3D打印
导航 / 机器人
肿瘤
0个品牌
23个商品
颅内肿瘤AI辅助诊断
安德医智公司利⽤海量有病理验证的神经肿瘤数据,完成了27种颅内肿瘤的⼈⼯智能诊断产品开发,并成为医学影像AI⾏业中⾸个获得药监局批准的,基于深度学习技术的影像辅助诊断三类认证产品!
产品详情
了解更多
QP-Lung®
Quibim is developing a new solution to work in combination with existing techniques to classify tumor mutational status,...
产品详情
了解更多
QP-Insights®
QP-Insights® is comprehensive web-based cloud platform, that centrally manages, stores and quantitatively analyzes multi...
产品详情
了解更多
CT淋巴结智能分析系统
联影智能CT淋巴结智能分析系统精准识别纵隔及腋下的肿大淋巴结,自动量化分析,依据国际权威图谱实现纵隔淋巴结分区。针对同一患者的多次胸部CT检查,自动实现病灶匹配与跟踪,助力医生快速实现肿瘤诊断与分期。
产品详情
了解更多
CT骨转移智能分析系统
联影智能MR前列腺癌智能分析系统基于多参数MR影像特征,自动进行腺体分析,精准检出可疑癌灶,并提供可疑癌灶大小、位置、风险程度、PI-RADS评分等多维度信息,自动生成结构化报告,辅助医生高效精准诊断;系统自适应视图布局,支持多序列联动阅片...
产品详情
了解更多
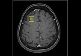
MR脑转移瘤智能分析系统
联影智能MR脑转移瘤智能分析系统可辅助检出颅内转移瘤病灶,提供病灶长短径和位置分析结果,自动生成影像所见,辅助医生筛查诊断,提高整体阅片效率,减少漏诊情况,有效辅助癌症疾病进程评估以及治疗方案选择。
产品详情
了解更多
1
2
3
4
Surgi-plan.com Copyright © All Rights Reserved 2006-2023
京ICP备17046258号
关于我们
联系我们
网站声明